电动牙刷买得起用不起?4品牌对比揭秘主流电动牙刷使用成本内幕
M慢性子
2021-04-20

一、电动牙刷后期成本分析
▼作为一个电动牙刷十多年的用户,主流品牌震动式、往复式的都有使用。对于电动牙刷的使用成本深有体会,几乎所有品牌的牙刷头都是建议三个月更换一次,在多年前电动牙刷的品牌还很少时,咬牙花了普通牙刷数十倍的价格买了电动的后,发现牙刷头的费用也是一笔很大的支出。

▼之前用的品牌牙刷头,3个月后的情况,刷毛变形,清洁力会下降,刷头的磨圆率也会减低,变得扎手,有损伤牙龈的风险,并且超期使用还有细菌滋生。所以到了3个月刷头就必须要更换,这个费用是固定支出,没法节省的。

▼当然还是有一定几率节省一点的,我之前去国外旅游时,发现海外版不仅产地不同,并且大包装的版本还能便宜个20%左右,其实还是很贵的。一次买了2年的用量回来。最近囤货都用完了,现在也没法出国。今时不同往日,近两年电动牙刷品牌如雨后春笋般呈现。现在即使买的海外版比较便宜的情况下,1年的牙刷头费用已经可以买很多新品牌一套新机器+一年多的刷头了,并且老的由于是镍氢电池,续航时间也明显下降,就准备换套新的用用看。

▼以下是各主流品牌替换牙刷头的价格,单价最贵的53元一只,最便宜的不到20元一支,但是看材质说明,都没有什么差别,都是美国杜邦的尼龙刷毛,磨圆率都有一定保障。并且以下品牌都是我实际用过的,刷头不管在使用寿命上,使用感受上,以标准刷头为例都没有太大区别。唯一区别是欧乐b的的转动刷头,使用上没有接近传统的震动刷头来的习惯,需要适应的时间。

▼再来看下,以上主流品牌对应的主要热销型号的性能差异,以下都是带有多种刷牙模式,在各品牌中定位中端的型号。可以看到外资品牌的定价是基本相同的,内资品牌则价格较低,而后续一年使用成本方面,飞利浦是最高的,一年的刷头费用可以买国产的一套机器+6个刷头还有找了。国产品牌不论是程序数量,赠送刷头数量,续航时间都比外资同等级的多,价格还便宜。具体实物的差异有哪些呢,我入手了一台同同家的实物来体验,做个实际的对比。

▼以上表格中的四台,除了欧乐b,我之前用过一段时间,入门型号的D12,感觉转动型的不太适应,就没怎么用。其他三台飞利浦6730、Oclean X、同同家T9U都是用了一段时间的,以它们三个做实物的对比。

▼从刷头来看,三款的设计都是和传统牙刷类似的设计,使用感受上也比较容易接受和上手,细微的设计上还是有差别,靠近刷头一侧的Oclean和同同家的,比飞利浦的要更细,相比飞利浦的要更有弹性,反应到牙齿上的压力就会相对较小,相应的比较护齿。当然飞利浦的更高端型号(89元一支)也有类似设计的刷头,入门的飞利浦刷头就要使用时自己掌握好压力,刷的时候不要太用力。

▼其次是在刷柄材质上,除了同同家的,其他几个品牌都是采用塑料设计,背面打在牙齿上,会有一定的不适宜感,而同同家的软胶材质就要舒服许多,并且后侧的凸点,还可以当舌苔刷使用。

▼其实并不是老品牌不用,我最早用过的欧乐b的震动牙刷s12刷头也是采用包软胶的设计,说明从耐用度到安全度,食品级软胶都是没有问题的,但是造价相对较高(59元),所以欧乐b放弃纯震动产品后,就再也没有看到这种设计了,同同家这点是非常不错的,既保证了舒适度,价格上(19元)还非常有性价比。

▼而在控制上三款都是一个大的按钮开关,通过多次调解切换各种程序,同同家是采用隐藏设计,不开启时看不到任何文字,一体性更强。

▼飞利浦的菜单是全英文设计,好在功能少就3挡调节,也能记得。同同家全中文设计,虽然功能多,4个基本程序加叠加后有15个程序,但是中文一目了然,并且带记忆功能,使用上也非常便利。而Oclean的程序采用触摸设计,设置要在二级菜单调整,相对还是比较麻烦的,它的设置更多的还是适合在app上调整。

▼最后是充电设计,除了同同家,其他几个都是感应式充电的设计。传统的电动牙刷大多采用感应式充电,好处是新的时候看着比较美观,充电比较方便。缺点是长期使用后,感应式充电的接触面特别容易脏,而且感应式充电的效率比较低,充满要在6小时以上,就不能配备大容量的电池,新机的续航最多保证14天,像我我用的这款飞利浦6730用的还是镍氢电池,续航掉的非常厉害,基本现在都是3天一充电。而同同家这款采用的是usb有线充电,第一是充电效率高,4-6小时就能充满,第二锂电池容量大,充满的电够用100天。

二、同同家 T9U开箱
▼同同家是新入手的,所以刚好可以来给大家做一个开箱体验。来看看它的外观和使用体验吧,它一共两个包装,一个是带主机的,一个是另赠送的4个刷头。我入手的是黑色的,其他颜色还有白色、粉色、绿色共4个颜色选择。
▼主机包装内共有2个刷头,以及旅行盒和充电线。

▼通体全黑色设计,控制菜单采用隐藏设计,不启动时灯不亮起,一体性更强,非常有科技感。牙刷头也采用了黑色的刷柄。

▼加上赠品的4个,一共有6个刷头,一年都不用买刷头了。

▼并且细节考虑的非常周到,一共包括了4个种类的刷头,包装上有相应的介绍,刷头的特点和适合的人群,用着还是很舒心的。

▼刷头,用颜色和刷头的大小做了区别,拆掉包装后也能辨认。

▼随机配置在主机上的是青色刷毛的敏感型刷头,特别为第一次使用电动牙刷的人群考虑,刷毛比常规的要柔软,让新用户有一个适应的过程,并且机器程序上也有配套,新机开始用的前30次默认的也是轻柔模式。当适应后,或者如我这样已经习惯电动牙刷的就可以使用标准的亮白刷头了,亮白刷头的硬度稍微高一些,有更好的美白效果,随机配了3支都是亮白刷头。之后是清洁刷头,刷头更小,硬度更高,配套清洁程序使用后清洁力更强,可以对牙齿上的顽固污渍做定点的清洁,建议可以在使用亮白刷头时,每周一次的间歇穿插使用。以及一直刷头尺寸比标准版更大的高效刷头,适合口腔较大的人使用。

▼以下刷头的一些细节,背面是食品级软胶包裹,并有凸点,可以当舌苔刷使用。软胶触碰到牙齿后,也不会有一般塑料刷头的不适感。

▼用手按压刷毛,敏感型刷头的刷毛非常的柔软,并且他们的磨圆率是99.5%,不扎手不会伤害牙釉质。

▼中间是控制的部分,一个大的按键控制开关,和程序的调节,可以看到程序是隐藏的LED灯设计,平时几乎不可见,使用和调节时才会亮起。比直接印刷上文字的要更整洁

▼底部的盖子旋开后可以看到usb的充电口,配上随机附送的充电线就可以用常规的手机充电头充电了,比起无线充电的产品有更好的充电效率。

▼充电用时仅4-6小时,可以达到100天的续航。

▼配套的旅行盒可以放置2个牙刷头和主机,外出携带也很便利。

三、操控体验
▼来体验下操控的部分。开机后,通过短按的方式可以调节使用的程序,共有4个基本程序,并可以组合叠加最多15个程序组合,并且有记忆功能,设置好后下次会按之前的设置启动,全中文的设计,一目了然,非常方便。

▼4个基本程序,清洁、净白、磨光、护龈,各1分钟,可以单独使用。
▼也可以组合使用,最多可以叠加5分钟,一般可以2个到3个程序叠加,2-3分钟的使用时间,每使用30s会有不同强度的震动提示,更换刷牙的位置,保证牙齿的4个分区,每个都刷满30s。
▼除了15挡程序外,还有3挡的强度调节,开机后可以通过长按切换3挡强度,对应的轻柔图标会有相应的提示,轻柔高亮为轻柔强度,低亮为中档强度,轻柔关闭是高档强度。新机默认开启30次轻柔强度,给第一次使用电动牙刷的人一个适应的过程。

【清洁模式】
▼来看看各档位的实际体验。清洁档位是通过持续震动的方式,清洁牙齿。3挡强度,通过水花看,相比我以往使用的产品,即使轻柔挡,这款的动力输出也要更强,轻柔挡也有细小的水花,以往使用的只有波纹,没有水花。轻柔挡适合新用户和敏感性牙齿人群使用。
▼整体的强度提升是比较线性的,中档位要更强一些,适合平时的使用。
▼最强档位,水花四溢,满动力输出,对于牙齿内顽固污渍清洁有更好的表现。
【净白模式】
▼通过实测可以看到,净白模式是采用2段强度往复循环的方式,刷头摆动方式和清洁模式就不一样了,脉冲式的清洁,产生更大的清洁力度,起到美白牙齿的作用。
【磨光模式】
▼从水花的输出看,磨光模式时采用的小强度高频率的方式,对牙齿的表面进行抛光,使得牙齿的表面更光滑。
【护龈模式】
▼而护龈模式,同样也是两段强度输出往复,但它变换的频率更快,起到了一定的按摩作用,强力按摩舒缓牙龈。
四、牙菌斑清洁测试
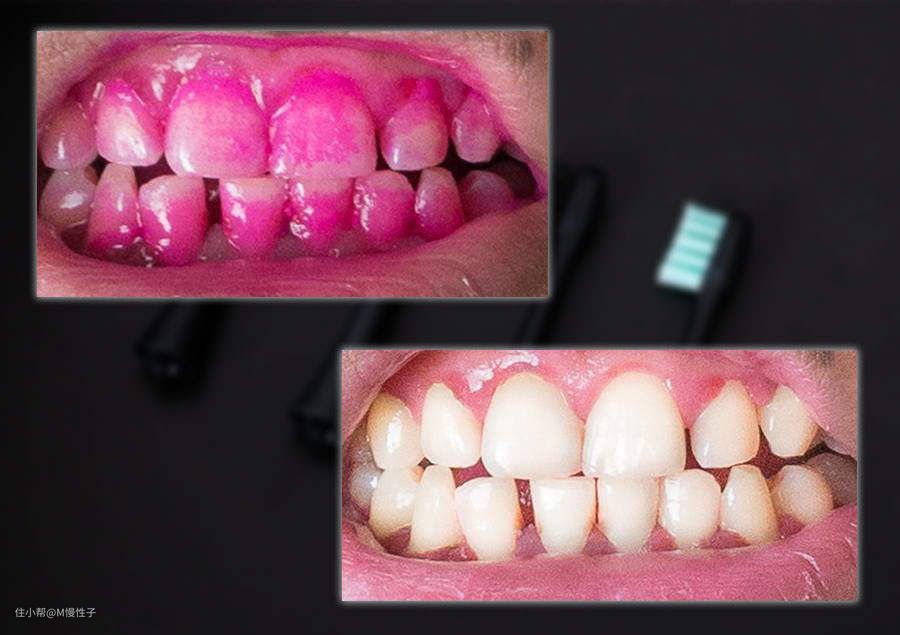
▼最后使用牙菌斑指示剂来看看实际的清洁力吧。牙刷使用的是2分钟,清洁程序+亮白程序各1分钟的组合。

▼红色为染色后的情况,白色为刷牙后的情况。通过2分钟的清洁,可以看到虽然我的牙不齐O(∩_∩)O~,但也清洁的很干净,边角缝隙都能清洁的很干净。

总结
好了本次的使用体验就到这里了,可以看到随着技术的发展,竞争的加剧,以往高昂的电动牙刷使用成本,在更多品牌加入后,我们有了更多的选择。在使用相同优质材料的情况下,使用成本大幅下降。并且软胶包裹刷头、多种类型刷头这些人性化的加入,让我们有了更多选择理由。通过对比和实测,很多后起之秀有着更优秀的性能与表现,关于电动牙刷,你会怎么选呢?欢迎留言讨论。